人生倒计时
- 今日已经过去小时
- 这周已经过去天
- 本月已经过去天
- 今年已经过去个月
王女士,59 岁,日常体质较差,经常出现咳嗽和咳痰的情况,只是当作普通感冒治疗,并没有放在心上,但是这段时间王女士发现自己出现了胸痛情况,特别是在休息时出现了呼吸困难、轻度疲劳、感觉寒冷等症状,随后,她因为感觉呼吸急促,导致几天没有下床活动,严重影响了王女士日常的生活,才想起去医院检查。
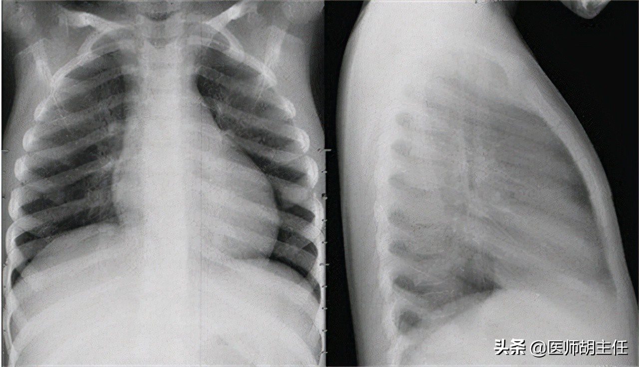
到医院之后,医生给王女士做了全面的检查,胸部X光显示出现了肺泡水肿的双基底空腔疾病,心脏肥大,双侧少量胸腔积液,超声心动图,表明左心室收缩功能正常,左心室腔边界扩张,经肺活量测定,她被确诊为慢性阻塞性肺疾病。
其实对于王女士而言,身体早就给出了疾病来临前的提醒,只是被忽视了而已,所以今天结合王女士的病例,给大家科普一下当肺部疾病来临前,会先经历的3个症状是什么?
一、肺在人体中的作用有哪些?
1、肺的位置
肺位于人体左右两侧的胸腔中,从正面看,肺从胸顶锁骨上方延伸到第六肋下方。从后面看,肺在第10肋附近,覆盖双肺的胸膜可以向下延伸至第12肋,两肺自前向后充满胸腔,但被两肺之间的心脏隔开,而我们呼吸的空气通过鼻子、咽部和喉部进入,然后沿着气管向下。
2、肺的功能是什么?
肺的主要功能是帮助我们呼吸空气中的氧气进入血细胞(红细胞),然后红细胞将氧气输送到全身,给内脏中的细胞使用。当我们呼气时,肺部还可以帮助身体排出二氧化碳。
肺的其他作用包括:
通过增加或减少二氧化碳来调节血液 pH 值(当血液呈酸性或碱性时)。
过滤掉在静脉中形成的小血块。
过滤掉血液中可能出现的气泡。
将血液中称为血管紧张素 I 的化学物质转化为血管紧张素 II,这对控制血压很重要。
二、以下是最常见的肺部疾病及其具体症状:
第一种:肺炎
肺炎是一种肺实质炎症,通常由细菌、病毒、真菌或其他病原体引起。好发于老年人、慢性病患者或免疫功能低下的人,但也可能发生在健康的年轻人身上。它也是全球儿童死亡的主要原因,肺炎的体征和症状通常与感冒和流感的症状和体征非常相似。发烧、咳嗽、咳痰、胸痛和呼吸急促是常见症状,但是症状可能因肺炎的原因而异。
第二种:慢性阻塞性肺疾病 (COPD)
慢性阻塞性肺疾病 (COPD) 是一种呼吸系统疾病,由于气道比正常情况更窄,因此人们会出现呼吸困难的情况。这种疾病可导致呼吸障碍并降低人们的生活质量。
而且慢性阻塞性肺疾病如果不及早和明确地治疗,将导致许多极其危险的并发症。
并发症包括:
心脏病:在严重阶段,慢性阻塞性肺疾病患者会出现心率加快,导致心律失常,心力衰竭(也称为支气管扩张症)。
高血压:慢性阻塞性肺病会导致将血液输送到肺部的血管出现高压,从而导致肺动脉高压,即血压升高。
呼吸道感染:人们会出现无法治愈的频繁感冒、流感或严重肺炎的症状,呼吸道感染是慢性阻塞性肺疾病的并发症之一。
如何治愈慢性阻塞性肺病 ?
具体来说,患者会进行肺功能检查、肺活量计、胸部X光或CT扫描、动脉血气检查,以便医生做出准确的结论, 慢性阻塞性肺疾病不能完全治愈,但有很多方法可以有效治疗和预防疾病的发展。
对于慢性阻塞性肺疾病,医生将致力于减轻疾病症状、逆转、减缓疾病进展、改善运动、预防和治疗并发症。
目前普遍采用的处理方法有:
药物使用:支气管扩张剂,祛痰剂帮助患者呼吸顺畅,支气管扩张剂减少肺炎,改善症状。
预防性疫苗:患者使用流感疫苗、肺炎球菌疫苗、氧疗。
手术:作为药物治疗无效的慢性阻塞性肺疾病患者的最后手段,通常是肺移植。
第三种:肺癌
这是支气管上皮恶性肿瘤发展引起的危险疾病之一,肺癌是机体恶性程度较高的癌症之一,治疗至今仍有难度。 肺癌有两种主要类型:小细胞肺癌和非小细胞肺癌。该病的主要原因是吸烟、吸食烟草或接触环境中的烟尘。因此,戒烟、改善生活环境可以预防肺癌。 肺癌也是体内最具侵袭性的癌症之一。
肺癌的症状并不特异,患者可能会出现多种症状。但是,这些症状很容易与其他常见疾病混淆。很多肺癌患者根本没有任何症状,只是在常规体检或相关医学检查中,或在并发症严重时才发现。
肺癌的症状可分为几组:
支气管症状、弥漫性体征和肺外体征,肺癌可以通过特征性综合征来识别。
1、支气管肺癌的症状
支气管症状是肺癌最典型的症状,患者会有这些表现: 持续咳嗽,这个症状类似于普通感冒,所以很多患者不去看医生。事实上,导致声音嘶哑和失声的持续咳嗽可能是由肺炎、肺结核或肺癌引起的;痰中带血:即使痰中混入少量血液,也应到医院检查身体状况。
如果有肺炎、支气管炎咳嗽、发烧已经治疗过,但X线片仍显示病灶持续1个月以上,则需进一步检查排除肺癌。
2、弥漫性肺癌的体征
肺癌肿瘤扩散后,患者会出现这些症状: 呼吸困难、吃力、喘息,由于这种症状可能看起来很模糊,所以很多人都会主观化,这种情况是由肺部肿瘤干扰人们的呼吸引起的; 吞咽困难:当肿瘤压迫食道时,就会出现吞咽困难;声音嘶哑:由于肿瘤压迫返神经引起的声音变化。
3、上腔静脉受压的症状
上腔静脉被肺癌肿瘤压迫会导致:颈部肿大、面部水肿、颈静脉突出、锁骨窝充盈。 胸腔积液的症状:当肺癌肿瘤侵犯胸膜时,可引起胸腔积液,根据临床检查及X线片可确诊。 此外,部分肺癌患者还有:半边脸出汗减少,一侧眼皮下垂,一侧瞳孔小。
第四种:肺纤维化
当肺内的组织变得异常厚实和变硬时,就会发生这种疾病。这种情况会干扰氧气进入血液、大脑和其他器官的吸收,患者可能会感到呼吸急促,并伴有难以控制的干咳。这种疾病特别严重,如果患病多年,可能会危及生命。尽管目前尚不清楚该疾病的确切原因,但可能是由于遗传、吸烟以及感染某些病毒所致。
第五种:哮喘
哮喘或哮喘是气道的慢性炎症,会导致气短、嘶嘶声、咳嗽、胸闷、间歇性反复发作的气道阻塞通常可以恢复或治疗。这种炎症过程通常伴随着对许多引起支气管痉挛的刺激的支气管反应性增加。花粉、化学品、生物粉尘、真菌、霉菌、细菌、无机粉尘……是引起特应性过敏症的首要原因,尤其是哮喘病反复发作或疾病爆发的哮喘患者。
此外,由于湿度高,会产生许多过敏原(尤其是屋尘虫),身体的抵抗力下降,与其他季节相比,冬季和春季也使哮喘更严重。
三、肺部疾病来临前,会先经历3个症状
第一个症状:咳嗽
咳嗽是保护肺部的自然反射,这有助于清理呼吸道并清除肺部刺激物,如烟雾和粘液,并有助于预防感染。当沿着气道的细胞受到刺激时,人们就会发生咳嗽,导致肺部以高压和高速将空气排出,大多数咳嗽是由感冒或流感引起的,它们会很快自行消失。
但是,如果人们有以下任何一种情况,就应该去看医生:
咳嗽后感觉头晕; 胸部紧迫感; 夜间持续咳嗽; 发烧; 咳嗽 7 天后未消退; 呼吸急促或呼吸困难。 因为患有哮喘或支气管炎等慢性肺部疾病的人持续咳嗽的风险也增加,所以大家不要忽视这个症状。
第二个症状:呼吸困难
呼吸急促是患者气短或呼吸困难的一种情况,当面对这个问题时,人们会在尝试呼吸时感到胸口发紧,如果人们感到呼吸急促,最好去看医生进行全面的健康检查,因为这可能是一种危险疾病的症状,大家不应掉以轻心。 而呼吸急促最常由肺部问题引起,比如,肺癌是患者呼吸困难的原因之一,如果不及时发现和治疗,会使患者越来越虚弱并导致死亡。
呼吸急促是肺炎最明显的症状之一,这种疾病如果不及时发现和治疗,很容易导致胸腔积液、呼吸衰竭等危及生命的并发症,而且这种症状也可能是它可能是哮喘的症状,所以大家对此要重视起来。
第三个症状:胸痛
胸痛或不适可能与许多肺部问题有关,包括气道疾病,如哮喘或支气管炎、肺部感染(肺炎)或肺部内壁炎症(称为肺炎或胸膜炎)。不过,肺部问题引起的胸痛通常很容易诊断。
因此,将肺胸痛与心绞痛和心脏病发作混淆的情况非常罕见。
哮喘引起的胸痛
在哮喘发作期间,气道收缩,呼气变得更加困难。除了严重的呼吸急促、喘息和咳嗽外,哮喘患者还可能出现胸闷甚至胸痛。哮喘性胸闷是由于肌肉过于用力推空气而引起的,从而导致肌肉“疲倦”和紧张。当胸肌过度劳累时,它们会引起疼痛。一旦哮喘发作得到治疗,胸闷应该会消失,尽管一两天内患者可能仍会感到气短。通过适当的治疗,可以大大减少或消除这些严重的哮喘发作。
支气管炎
尽管支气管炎中的气道阻塞更多是由炎症和粘液积聚而不是肌肉痉挛引起的,但由于支气管炎也是气道的阻塞性疾病,支气管炎引起的胸痛与哮喘引起的胸痛非常相似。 肺炎引起的胸痛 肺炎也会导致胸痛,疼痛通常是由咳嗽过多引起的肌肉紧张或肺部外层炎症(胸膜炎)引起的。
胸膜炎引起的胸痛
胸膜炎引起的疼痛通常很有特点,因为肺内壁很容易受到刺激,任何扩张肺内壁的东西都会引起疼痛,包括呼吸。因此,“胸膜炎性胸痛”是由呼吸、咳嗽或移动胸部引起的胸痛,疼痛可能局限于胸部(或肩部)的某个区域。胸膜炎有时类似于心包疼痛,实际上患有自身免疫性疾病(包括德雷斯勒综合征)的患者可能同时发生心包炎和胸膜炎。一旦治疗了胸膜炎,胸膜炎性疼痛就会消失。
所以,当肺部疾病来临前,会出现上文介绍的3个症状,只要出现一个,大家都要及时的就医检查。
四、医生:肺部疾病的检查项目,大家要了解
首先,测量呼吸功能 ,肺功能测试将检查支气管阻塞的程度、进出肺部的空气流量以及其他肺容量,这些指标将表明患者是否患有慢性阻塞性肺病,如果有,疾病的严重程度或轻微程度。
其次,胸片 ,在疾病的早期阶段,X 射线可能无法检测到疾病,因为肺部成像是正常的。当疾病发展到严重阶段时,胸片对于提示慢性阻塞性肺疾病的诊断很有价值,X 光检查结果有助于区分慢性阻塞性肺疾病或其他疾病(如肺结核、支气管扩张、肺肿瘤、肺纤维化)引起的咳嗽、咳痰、呼吸急促……
胸部 X 光片分为 2 种类型:
胸部X光:用于寻找肺部肿瘤,对小病灶效果不大。
计算机断层扫描X线:用于检测肺部肿瘤的大小、位置和侵袭,患者的转移状态,纵隔淋巴结,或在穿透胸壁时帮助指导活检,用于组织病理学诊断。
还有,测量脉搏血氧饱和度 ,理想的血氧饱和度在95%以上,对于肺炎,氧气进入肺部的过程可能会受阻,导致血氧水平下降,使患者呼吸困难。脉搏血氧饱和度是一种非侵入性测试,可以检查血氧的变化;支气管镜检查 ,如果发生重症肺炎或反复肺炎,患者往往需要进行支气管镜检查。医生会使用一根末端带有摄像头的小而灵活的管子,插入患者的气管和支气管,帮助收集体液和小组织样本进行测试,找到疾病的原因;验血可以帮助通过白细胞计数识别感染,医生可以从静脉取血进行培养,有助于确定引起肺炎的确切细菌类型,从而选择正确的治疗方法和抗生素;尿检 ,尿液分析有助于诊断由两种原因引起的肺炎:肺炎球菌(肺炎链球菌)和嗜肺军团菌。
最后,肺癌标志物的一些检测 ,在必要的情况下,患者可能会被分配进行肺癌测试,如下:
Cyfra 21 -1:该测试有助于医生准确诊断非小细胞肺癌。 NSE测试:用于帮助诊断小细胞肺癌。
ProGRP . 测试:对于疑似小细胞肺癌或需要快速区分这种癌症与其他类型肺癌的病例,患者可能会被要求进行 ProGRP 检测。
ProGRP 已被证明是小细胞肺癌的特异性生物标志物,但在一小部分非小细胞肺癌患者中可以发现异常浓度。这些浓度显着低于在小细胞肺癌患者中发现的血清 ProGRP 浓度。血清ProGRP水平与肿瘤的分期成正比,与NSE相比,ProGRP检测是一种更敏感的标志物检测,更容易让医生与其他肺部肿瘤进行鉴别诊断。
SCC(鳞状细胞癌抗原): 鳞状上皮细胞是表皮的主要成分,但它也存在于胃肠道、肺和身体其他部位的基质中。SCC 可以在许多组织类型的癌症病理中升高,主要是肺。
总结:虽然早期肺部疾病通常没有明显症状,但大家还是要注意身体的变化,如果发现自己出现上文所介绍的这些症状,一定不要掉以轻心,要及时就医,接受检查,当然在日常生活中,大家可以通过控制自己的生活方式因素来降低患肺部疾病的风险,比如说定期锻炼、均衡饮食、减少酒精摄入量、远离香烟、保持健康的体重等,都可以帮助大家提高身体的免疫系统,远离疾病。

